Primary Care

Our hospital offers primary care services that cover every pet’s basic needs. These services include spays and neuters, health exams, laboratory and pharmacy services, dental care, and much more! Please click on any of the subheadings listed below to learn more about the primary care services available to your pet.

Available Services
  • Pets can suffer from allergies to elements in the environment around them, as well as certain ingredients in their foods, just like people can. .... Read more

  • Anesthesia indicates the use of medication to block sensation, typically resulting in unconsciousness. Anesthesia is induced using a variety of medications, both injectable and inhaled. .... Read more

  • VCA Wakefield Animal Hospital Dental Care

    Dogs and cats don't often get cavities. But they do frequently suffer from other types of dental disease. Periodontal or gum disease, in fact, is the number one illness found in both dogs and cats.... Read more

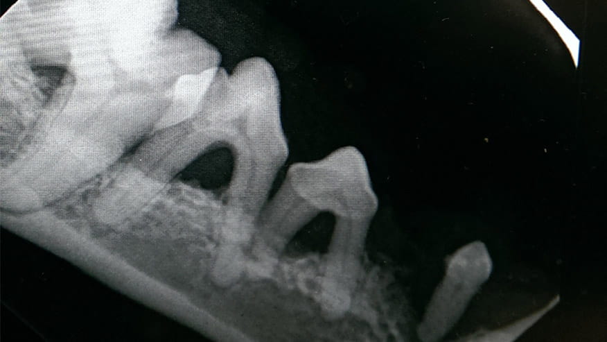
  • Our hospital offers dental radiographs (x-rays) as part of our dental care services. Specifically designed dental radiology equipment allows your veterinarian to view structures that lie below the gum line. The location of tooth root infections, the extent of periodontal bone loss and the identification of bone cysts and tumors can be identified using dental x-rays.... Read more

  • VCA Wakefield Animal Hospital Dental X-Rays

    Our hospital offers a variety of Dentistry Services. At your pet's yearly examination it may be determined that they require a dental cleaning. Routine veterinary dentistry involves prophylaxis (teeth cleaning), polishing and a full oral examination.... Read more

  • Have you ever wanted to know the exact DNA makeup of your mixed breed dog? We can help! The procedure is very simple, and only requires a small blood sample to be drawn from your dog by one of our veterinary technicians. This sample is then sent off to an outside laboratory where a complete analysis will reveal your pet’s heritage. Results are usually available within 3 to 4 weeks.... Read more

  • Our hospital offers thorough ear exams as one of our many services. Symptoms like head shaking, scratching and pawing at the ears, rubbing the ears on the floor or furniture, whining, and abnormal odors are often indicative of a problem with your pet’s ear.  

    Conditions of the ear occur frequently in dogs and cats and result from a variety of causes.... Read more

  • Our staff is here to help you with euthanasia and end of life decisions. There comes a time in the life of all pets when the possibility of a recovery to a comfortable existence is highly unlikely. Caretakers of an animal must consider all possibilities to relieve the pet's suffering.... Read more

  • Our hospital is proud to offer our clients a complete diagnostic laboratory. Our in clinic laboratory machines can perform complete blood cell counts, complete chemistry panels, including liver, kidney, and pancreatic enzyme function tests, glucose, and electrolytes. Additionally, our hospital can send samples out to a diagnostic laboratory ensuring that we have a wide range of diagnostic capabilities.... Read more

  • VCA Wakefield Animal Hospital Dr Simonelli

    Our hospital offers many general surgery services that include a variety of common and elective procedures performed under general anesthesia.  

    Examples of common surgeries include: spay (ovariohysterectomy), neuter (castration), lump removal and biopsy, laceration repair, abscess and wound repair, exploratory surgery, removal of gastrointestinal foreign bodies, enucleation (eye removal), cystotomy (removal of bladder stones), and skin biopsy.  

    As these procedures usually require general anesthesia, please refer to our anesthesia service for more information.... Read more

  • Our hospital offers geriatric (senior wellness) medicine services for your older pet.  
    When your pet reaches his or her “golden years,” they require special care. Your veterinarian will recommend certain screening tests that can help provide an early diagnosis for some of the common diseases that affect older pets.... Read more

  • There are two types of health certificates available: one which approves pets for travel within the continental United States, and another which approves them for international travel.

    Acquiring a health certificate will require you to schedule an appointment with your veterinarian. Your pet will receive an overall exam during which the doctor will be able to certify that your pet is healthy and safe for travel.... Read more

  • Wellness Exams not only help flag any potential problems with your pet's health, but they are also important in creating an overall medical history for your pet. By meeting regularly with your pet, your veterinarian is able to become better acquainted with his or her personal history, and is able to offer more personalized care.  
    For pets who are 6 years and younger, wellness exams are recommended at least once a year.... Read more

  • Our hospital offers hospitalization services. Hospitalization involves admitting your pet into the hospital for monitoring or necessary medical care. Your pet will have their own cage or kennel within the hospital building and will be monitored closely by technicians and veterinarians throughout their stay.... Read more

  • Our hospital is equipped with an In-House Laboratory that enables our veterinarians to quickly perform diagnostic tests on a variety of bodily fluids (ear swabs, blood, urine, feces, etc. ) to achieve an accurate and rapid diagnosis.

    This is especially important in very ill animals and those requiring immediate or emergency treatment.... Read more

  • For your convenience, our hospital has an in-house pharmacy, enabling you to pick up your pet's medications at the time of your visit.

    While no hospital carries every medication, we keep the most commonly prescribed medications in stock. If your pet requires a medication that we do not carry, call ahead and we may be able to order it for you.... Read more

  • Surgical suites are rooms designated for use during surgery only. These rooms are kept as clean as possible to minimize bacteria and other infectious organisms that would be capable of contaminating a surgical wound.

    Many surgical suites are designed with separate ventilation from the rest of the hospital as this helps maintain cleanliness of the room.... Read more

  • Our hospital offers oxygen therapy for the treatment of many acute cardiac, respiratory and blood disorders. Oxygen may be provided to patients by a nasal catheter, oxygen cage, hood or mask. Close veterinary monitoring of these patients is required to maintain oxygen flow, avoid potential complications of oxygen usage and to insure that the expected therapeutic goals are met.... Read more

  • Keeping your pet pain-free is crucial to maintaining his or her quality of life. Our veterinarians use a multi-modal approach to pain management that includes anti-inflammatories, opioid drugs, local anesthetics, general anesthetics, and even epidural anesthesia to effectively combat pain at all levels. Some of our veterinarians even offer alternative options such as acupuncture or chiropractic services for additional pain relief.... Read more

  • Our hospital offers routine radiology services. Radiology is the study and science of x-rays. X-rays are used to help your veterinarian diagnose a problem or a disease in your pet.... Read more

  • In our continuing efforts to offer the highest quality veterinary medicine, we are pleased to provide a wide range of surgical services for our patients. From routine surgical procedures, such as spaying and neutering, to more complex surgeries, we look forward to the opportunity to care for your pet's surgical needs.

    Our staff is highly skilled in performing veterinary surgeries and will make every effort to ensure that your pet receives the very best care.... Read more

  • Our hospital offers Sevofluarne anesthesia for your pet. Anesthesia is the use of medication to block sensation, typically resulting in unconsciousness.

    There are several forms of gas anesthesia available, however, a newer gas, called Sevoflurane, allows very precise control of a pet's anesthesia level.... Read more

  • Our hospital routinely performs spays and neuters, the surgical sterilization of female and male dogs and cats. Spaying involves removal of the uterus and ovaries of female dogs and cats and is called ovariohysterectomy. Neutering involves removal of the testicles of male dogs and cats and is called castration.... Read more